Cierre Endovascular de Leak Paravalvular
Se trata de una complicación poco frecuente del implante de prótesis valvular. El Dr. Claudio Cigalini, Jefe del Servicio de Diagnóstico y Tratamiento Endovascular de Grupo Gamma, nos cuenta cómo se realizó la intervención quirúrgica. En la misma, trabajaron en forma conjunta el Departamento de Cardiología, el Servicio de Diagnóstico y Tratamiento Endovascular, y el Servicio de Cirugía Torácica y Cardiovascular y Servicio de Diagnóstico por Imágenes Cardiovasculares.
Presentamos el caso de una paciente de sexo femenino de 74 años de edad con antecedente de reemplazo valvular mitral con prótesis mecánica hace 3 años.
A dos años de la cirugía, consulta por disnea progresiva y anemia. Se diagnostica leak peri valvular y anemia progresiva secundaria a hemolisis por destrucción mecánica de glóbulos rojos.
Leaks paravalvualres:
Los leaks paravalvulares son una complicación infrecuente pero grave del implante quirúrgico de prótesis valvulares. Su incidencia se estima en 2-17%, y son el resultado de un cierre no hermético entre el anillo de sutura y el anillo valvular. Esto es consecuencia de una presión anormal o de fuerzas de tracción existentes tras la operación, generalmente en relación con calcificación del anillo, infección, técnica de sutura y tamaño y forma de la prótesis.
Con respecto a la presentación clínica, puede ser asintomática y no requerir tratamiento o puede causar hemólisis e insuficiencia cardíaca, como en el caso de nuestra paciente. La reoperación es una opción terapéutica, pero esta se acompaña de un alto riesgo perioperatorio y una alta tasa de recurrencia. Una alternativa de menor riesgo la constituye el cierre percutáneo.
El cierre transcateter de los leaks representa uno de los procedimientos más intrincados en el área de las intervenciones estructurales, dependiendo en gran parte de la localización y tamaño del defecto, su anatomía y la experiencia del operador. Además, no es infrecuente que defectos múltiples estén presentes.
«Los leaks paravalvulares son una complicación infrecuente pero grave del implante quirúrgico de prótesis valvulares(…)»
Dr. Claudio Cigalini
El procedimiento se realiza bajo anestesia general utilizando guía ecocardiográfica transesofágica y fluoroscópica. El uso de ETE 3D puede ayudar aún más a mejorar el éxito del procedimiento. Los dispositivos de cierre vigentes son todos recuperables y reposicionables. Consisten en una malla de tejido de nitinol y algunos son cubiertos con politetrafluoroetileno o polietileno tereftalato.
Con respecto a la vía de acceso, esta puede ser anterógrada (venosa, transeptal), retrograda (arterial), o transapical. La selección del sitio de acceso dependerá de la localización de la prótesis y del defecto en relación con la válvula, la presencia o no de válvula mecánica, la experiencia y preferencias del operador, y las peculiaridades anatómicas del paciente individual.
En los centros de mayor experiencia, se han reportado tasas de éxito cercanas al 80%, con excelente evolución alejada.
Los datos a la fecha del cierre percutáneo sugieren similares curvas de sobrevida comparadas con las observadas en la literatura quirúrgica, con peores resultados observados en pacientes manejados de forma conservadora.
La tasa de complicaciones está entre el 2 y 3%, siendo las más comunes el sangrado, la migración del dispositivo y la interferencia del dispositivo con el normal funcionamiento de las valvas protésicas.
En el caso de embolización del dispositivo, su recuperación endovascular es usualmente exitosa, mientras que la cirugía rara vez es necesaria.
«A un mes de seguimiento, no se detectan signos de insuficiencia mitral por doppler, la paciente recupera su conteo de glóbulos rojos y se encuentra asintomática (…)»
Dr. Claudio Cigalini
Para el éxito del procedimiento es necesaria la correcta selección del paciente a través del trabajo multidisciplinario entre Cirujanos Cardiovasculares, Cardiólogos especialistas en Imágenes, Cardiólogos Intervencionistas y Cardiólogos Clínicos más una adecuada planificación por técnicas de imagen (fundamentalmente ecocardiografía transesofágica 2D y 3D y tomografía).
Resolución del caso clínico
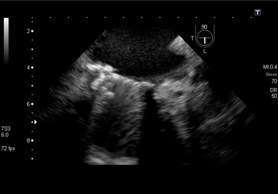
En el caso de nuestra paciente, la sospecha clínica surge a raíz de la presencia de anemia hemolítica a dos años de la cirugía. A través de ecocardiografía transesofágica se detectó la presencia de un leak periprotésico anterior.
La paciente evolucionó con disnea progresiva y anemia hemolítica severa con requerimiento transfusional, deteriorando su estado general. Se comprobó por doppler un aumento de la severidad del leak, por lo que se decide en forma conjunta, su cierre endovascular.
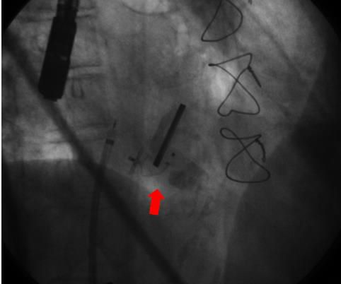
Para el implante, realizado en sala de hemodinamia, bajo anestesia general y guiado por ETE, se utiliza un abordaje mixto transapical y retrógrado-transfemoral implantándose exitosamente un dispositivo AMPLATZER Vascular Plug II.
A un mes de seguimiento, no se detectan signos de insuficiencia mitral (protésica o periprotésica) por doppler, la paciente recupera su conteo de glóbulos rojos (hematocrito de 38%) y se encuentra asintomática.



